Before & afters
See what’s possible with expert orthodontic care. These before and after photos show real results from real patients treated with braces and clear aligners at Sussex Orthodontics.




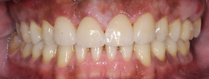
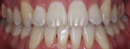
Alex
Invisalign® Clear Aligners
10 Months
“I didn’t realise how much a perfect set of teeth transforms not only my smile but how often I smile. I am now always complimented on how great they look, I can’t thank the team at pallant enough”
Read More


Jasmine
Invisalign® Clear Aligners
16 Months
“I am so happy with my beautiful transformation, the results are incredible and its all thanks to the great staff at Pallant Orthodontics”
Read More


Laura
Invisalign® Clear Aligners
20 Months
“Invisalign® has totally changed how I feel about myself! I used to try my hardest in any photos not to smile, I truly hated how my teeth looked and knew I would hate most photos because of my teeth! I have wedding pictures I loath
Now I LOVE smiling & love a pic!! Friends always complement me on how great they look and I am truly blown away everytime I see them.
100% wish I had taken the leap years ago, my teeth and oral health in general are the best they have ever been”



Edrich
Invisalign® Clear Aligners
26 months
“I cannot believe the amazing perfect smile I now have, it took me 29 years to make this change and I won’t ever look back. I placed my whole entire life in the hands of Pallant Orthodontics and I now feel amazing. Do it if you can!”
Read More


Jim
Invisalign® Clear Aligners
15 months
“At the age of 62, it took me quite a while to decide to straighten my teeth but once the process was underway I never looked back. The team at Pallant Orthodontics are extremely proficient, friendly and supportive. The use of latest technologies, such as Dental Monitoring, meant I could be away for periods and still progress through my aligners. I am more than happy with my results and can relate a very positive experience throughout.”
Read More


Lucy
“I just wanted to take a few minutes to offer my gratitude to your team and to express how impressed I have been with your service. From the warm welcome of the receptionists followed by the care and attention of the dental nurses Kelly and Grace who so seamlessly completed my photos, scans and xrays. The consultation with Alastair left me feeling completely reassured and well informed, with further advice about the Invisalign® process gratefully received from Megan. The skills and care of the staff, the fantastic environment, amazing equipment and the organisation of the service is second to none. Thank you so much.”
Read More


Jake
Invisalign® Clear Aligners
“I can not recommend Pallant Orthodontics enough, their service was continuously excellent and always at a high standard. The staff here are always friendly and accommodating, even with a six month delay in treatment due to complications overseas due to Covid-19, they extended my Invisalign® treatment and supported me throughout this duration. I am very happy with the final results, thank you to everyone involved!”
Read More


Grace
Angel clear aligners
15 months
“Thank you team Pallant for your support, reassurance and professionalism during my treatment - I’m so happy with my new smile”
Read More


Patryk
Fixed ceramic braces
18 months
“I’m very happy with the results. Finally I have the smile that I wanted. Wonderful place and wonderful people. A big thank you from me to the doctors and definitely to all the girls at the front desk.”
Read More


Lucy
Invisalign® clear aligners
12 months
“I just can’t believe the results – thank you so much Pallant Orthodontics!”
Read More


Cezaria
Invisalign® clear aligners
15 months
“From the first moment of walking into Pallant Orthodontics I was massively impressed by the professionalism, kindness and empathy of the staff. Every option was discussed with me in detail and I was made to feel I could ask anything. There was no pressure to commit to treatment and I felt fully informed (having walked in quite anxious) and totally confident that the team would look after me. Having an oral scan to create a 3d picture of my teeth and see what they could look like was amazing and the home monitoring by telephone meant that I could deal with my Invisalign® with ease and at one point from the other side of the world whilst on holiday! Having worked as a doctor in the health service for 15 years I always tried to treat patients as I would like to be treated and I have to say Pallant just excel themselves at the standard of clinical service they provide. For me in 8 quick months Invisalign® gave me the smile i had dreamed of and I would recommend anyone considering any type of orthodontic treatment to make sure they go there for an informed opinion and high class clinical care. Thank you to Alastair and Kelly and all the staff for giving me the perfect smile!”
Read More


Rebecca
Invisalign® Clear Aligners
15 months
“Working in performing arts and being on stage as a living, I have always wanted straight teeth but there was never going to be the right time. I came across Pallant and haven’t looked back! I am so, so happy with the results – my new smile has honestly transformed my life!”
Read More


Lucy
Fixed ceramic braces
26 months
“I cannot thank Pallant enough for my new smile, to say I am happy with the transformation is an understatement”
Lucy's transformation is incredible! She had fixed braces for 26 months and just 14 practice visits in that time with the convenience of Dental Monitoring.



Jade
Spark clear aligners
26 months
“The best decision I ever made. I can't believe the transformation by Alastair and the team at Pallant - thank you so much!”
Read More


Louise
Invisalign® clear aligners
15 months
“I am so pleased I found Pallant Orthodontics after my dentist recommended me. I had no delays with my treatment even during the global pandemic. I am so happy with the results, I can’t believe how much I love my new smile! The team at Pallant Orthodontics are amazing!”
Read More


Paige
Invisalign®
20 months
Completed with professional teeth whitening & composite bonding
“I can’t believe how different my smile looks, having teeth whitening and composite was the cherry on the cake after my treatment! Thank you so much Pallant Orthodontics!”



Kate
Invisalign®
12 months
"Thanks again for everything, absolutely thrilled with the result. I’ve never smiled in pictures so much!"
Read More


Aurolia Chong
Invisalign®
20 months
"I would highly recommend Pallant Orthodontics. They have been fantastic throughout my journey.
The staff are professional, kind, caring and always so happy! The whole process ran smoothly and was worth it.
Thank you Pallant for my amazing smile!"



Talia
Invisalign® clear aligner
"Talia's confidence has gone through the roof since her new smile - thank you so much!" - Talia's parents' comments.
Read More


Sam Packham
composite bonding
I’m quite a nervous patient when it comes to dentistry, however after signing up for Invisalign®, whitening and composite bonding I have to say every single member of staff at Pallant is incredibly kind, caring and so patient. I can’t thank them all enough for being so gentle with me and achieving the results I had hoped for.
Read More


Franklin
Invisalign® clear aligners
16 months
“My teeth, which have always made me feel self-conscious, have been transformed. Five star service every step of the way!
I couldn't recommend Pallant Orthodontics enough! I attended the Chichester practice and everyone, from reception, to the dental nurses, to the orthodontist, was so kind and helpful and attentive. My teeth, which have always made me feel self-conscious, have been transformed. Five star service every step of the way!”






Meet Mark!
Mark first came to Pallant wanting to correct his reverse overjet, where his top teeth bit inside his lower teeth, and he wanted a brighter smile.
Mark’s Treatment:
- Clear aligners for 14 months by our specialist orthodontist, Dr. Alastair Smith
- IPR (Interproximal Reduction) - polishing between the teeth to allow enough space for movements
- Professional whitening + composite bonding by Dr. Philip Adams here at Pallant Ortho
- Bonded wires and removable retainers
“Having my treatment at Pallant Orthodontics in Chichester has been such a pleasure. All the staff are so lovely and always happy to help. I would recommend anyone who needs orthodontics to go to Pallant!”
Read More


Connor
Fixed braces
20 Months
Connor came to Pallant after several consultations, feeling unsure of who to trust with his treatment. He wanted a specialist opinion, and we were more than happy to help! After a thorough consultation, our specialists recommended fixed braces and 4 extractions (2 upper, 2 lower) to achieve the best result for his smile.
Fast forward 20 months, and look at the amazing transformation!
Connor is thrilled with the results and is now considering adding whitening and composite bonding to perfect his smile even further.
Connor’s dedication has paid off, and we couldn’t be happier with the outcome!

Could this be your smile?
Book a free consultation with our team in Bognor Regis to start your own smile journey today.
Visit Us
Come and see us in Bognor Regis - we’re easy to find, always happy to help, and ready to chat about your smile.
Contact Us
60-62 London Road,
Bognor Regis
West Sussex PO21 1PT
Opening Times
- Monday - Thursday
- 9am - 5pm
- Friday
- 9am - 4pm
Weekends - we are always contactable via the Dental Monitoring app!


